Ricostruzione del Legamento Crociato Anteriore con Tecniche All-Inside e plastica antero-laterale sec. GRAAL
La lesione del Legamento Crociato Anteriore (LCA) è tra gli infortuni più frequenti, tra gli sportivi professionisti e non solo. Oggi le moderne tecniche chirurgiche consentono di intervenire in maniera sempre meno invasiva, garantendo tempi di recupero più rapidi e risultati ottimali in termini di ripresa della funzionalità.
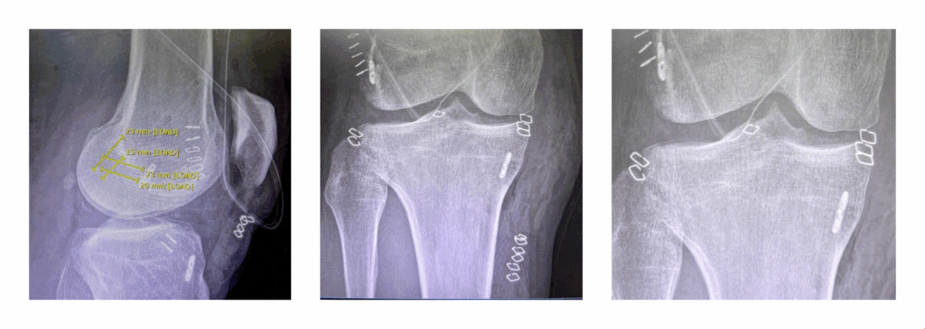
Nel presente articolo approfondiamo un caso specifico di una paziente di 15 anni, giocatrice di basket, operata con tecnica di ricostruzione All-Inside e plastica antero-laterale con tecnica GRAAL (Gracilis Anatomic Anterolateral Ligament Reconstruction).
Ricostruzione del crociato anteriore (LCA) con Tecnica All-Inside
A differenza delle tecniche tradizionali che prevedono l’effettuazione di tunnel ossei che attraversano tibia e femore, la tecnica All-Inside prevede degli Half-tunnel (tunnel incompleti che rispettano maggiormente l’osso corticale). Si tratta di una soluzione estremamente anatomica che preserva le cartilagini di accrescimento. Il trapianto (generalmente il tendine semitendinoso quadruplicato prelevato dallo stesso paziente, come in questo caso, oppure come t. quadricipitale e altri) viene fissato all’interno di questo half tunnel con sistemi in sospensione come bottoni o placchette, evitando di creare un tunnel tibiale completo di uscita.
Questa tecnica risulta particolarmente utilizzata in pazienti giovani che non hanno ancora terminato il processo di crescita, ma viene oggi utilizzata anche in soggetti di maggior età, per via dei numerosi benefici.

Vantaggi della Tecnica All-Inside:
- Minor invasività: riduzione del danno osseo, che nella maggior parte dei casi si traduce in minor dolore post-operatorio e minor sanguinamento.
- Migliore qualità ossea residua: gli half-tunnel permettono di preservare maggiormente l’osso circostante.
- Maggior facilità nel prelievo: utilizzando solo i tendini del semitendinoso, è possibile prelevarli con una tecnica “non strippante”, in parte preservando le inserzioni e riducendo il trauma dei tessuti molli.
- Maggior facilità di revisione: la qualità ossea preservata ottimizza la qualità di futuri interventi.
- Migliori risultati estetici: la presenza di incisioni chirurgiche estremamente ridotte e l’assenza di sporgenze ossee garantisce un miglior risultato estetico.
Plastica Antero-Laterale con Tecnica GRAAL (Gracilis Anatomic Anterolateral Ligament Reconstruction)
Nel paziente in esame, soggetto sportivo con attività fisica rilevante, alla ricostruzione con Tecnica All-Inside è stata associata una plastica extra-articolare laterale con Tecnica GRAAL, volta a rinforzare l’articolazione del ginocchio evitando eventuali sensazioni di instabilità nella rotazione e preservando maggiormente il crociato da futuri eventi di rottura.
Si tratta di una delle più recenti tecniche di rinforzo del complesso legamentoso Antero-laterale, particolarmente nota per la sua efficacia. Si basa sull’utilizzo del tendine gracile, con il quale il chirurgo specialista crea un nuovo legamento, che viene posizionato anatomicamente per contrastare l’eccessiva rotazione interna della tibia.

Vantaggi della Tecnica GRAAL (Plastica Antero-Laterale):
- Maggiore stabilità della rotazione: riduce la sensazione di cedimento rotatorio (pivot shift).
- Rischio ridotto di nuova rottura del LCA: il rinforzo protegge il legamento ricostruito, diminuendo lo stress rotazionale.
- Risultato funzionale migliore negli portivi: negli atleti che praticano sport con elevato numero di torsioni questa tecnica è particolarmente indicata per mantenere elevate le prestazioni del gesto sportivo.
Per concludere, l’associazione della tecnica di ricostruzione All-Inside con la plastica antero-laterale GRAAL costituisce un approccio avanzato finalizzato a offrire al paziente maggior stabilità, migliori prestazioni e un recupero ottimale, soprattutto nei casi di soggetti estremamente giovani (età sotto i 24 anni) e di soggetti altamente sportivi.

“Un ringraziamento sentito al collega Marco Pingitore dal quale ho avuto modo di apprendere di persona questa importante tecnica chirurgica della quale risulta tra i principali ideatori.”
Dr. Antonio Giardella, Chirurgia Articolare e Traumatologia dello Sport
CERCA LA SEDE PIÙ VICINA A TE
Chirurgo ortopedico Domodossola • Chirurgo ortopedico Milano • Chiururgo ortopedico Como • Chiururgo ortopedico Piantedo • Chiururgo ortopedico Varese • Chiururgo ortopedico Piacenza • Chiururgo ortopedico Napoli • Chiururgo ortopedicoSalerno